
Orthodontic treatment is expected to deliver long-term stability, yet relapse after braces is a well-recognised clinical reality. Patients often notice teeth shifting back, crowding reappearing, or changes in bite months or years after treatment.
Modern orthodontics now offers a refined solution, clear aligner retreatment, designed to correct relapse with precision, comfort, and predictability.
According to Dr. Pravin Shetty,
“Orthodontic relapse is not a failure; it is a biological tendency. The key lies in identifying it early and correcting it with a controlled, evidence-based approach.”

Concerned about teeth shifting after braces? Schedule a detailed orthodontic evaluation today.
Understanding Orthodontic Relapse After Braces
Orthodontic relapse refers to the tendency of teeth to return toward their original position after treatment.
This occurs due to:
Elastic memory of periodontal fibres
Natural ageing and jaw changes
Inconsistent or discontinued retainer use
Incomplete finishing of orthodontic treatment
Clinical evidence suggests that relapse can occur irrespective of the treatment method, including both braces and aligners, reinforcing the importance of retention protocols.

Why Are Your Teeth Shifting Again After Braces?
Teeth shifting after braces is usually due to natural biological changes and retention issues rather than a failure of treatment. Even after alignment, teeth have a tendency to move back if not stabilised properly.
Common reasons include:
Inconsistent or discontinued retainer use
Natural memory of surrounding tissues pulling teeth back
Changes in jaw structure with age
Teeth settling into new positions over time
This shifting often shows up as:
Teeth overlapping or becoming crowded again
Gaps reopening after closure
Bite feeling uneven or uncomfortable
Front teeth appearing slightly rotated or out of line
Addressing these changes early can make corrections simpler, faster, and more predictable.
Get a personalised aligner retreatment plan with advanced digital smile simulation. Book your consultation now.
Can You Get Aligners After Braces?
Yes, clear aligners are a clinically accepted and widely used option for correcting teeth that have shifted after braces. However, their suitability depends on the extent and nature of relapse, not just the fact that you’ve had braces before.
Aligners are typically recommended when:
Tooth movement required is mild to moderate and well-controlled
Relapse is limited to alignment (crowding, spacing, minor rotations)
The bite relationship is largely stable
In cases involving significant bite changes or complex tooth movements, aligners may still be used, but often with attachments or a combination approach, and in some situations, braces may be more appropriate.
How Aligners Work in Retreatment Cases
Aligner-based retreatment is a digitally driven, stepwise process:
3D intraoral scanning and occlusal analysis
AI-based treatment simulation
Sequential aligner fabrication
Controlled, incremental tooth movement
Each aligner applies precise biomechanical forces, gradually repositioning teeth into optimal alignment.

Dr. Pravin Shetty’s Clinical Approach to Retreatment
Dr. Pravin Shetty emphasises a structured, diagnosis-first protocol:
“Retreatment is not about repeating braces or aligners — it is about understanding why the relapse occurred and correcting the root cause.”
His approach basically includes:
Identifying relapse pattern and severity
Evaluating retention failure or compliance gaps
Planning minimally invasive correction
Ensuring long-term stability with customised retainers
This personalised approach significantly improves predictability and reduces recurrence.
Aligners vs Braces for Retreatment
Both options are clinically valid, but aligners are often preferred in relapse cases due to:
Aesthetic invisibility
Better oral hygiene maintenance
Reduced discomfort compared to braces
Fewer clinic visits
However, braces may still be indicated in complex relapses involving significant bite discrepancies.
How Long Does Aligner Retreatment Take?
Retreatment is typically shorter than initial orthodontic therapy:
Mild relapse: 3–6 months
Moderate relapse: 6–12 months
Complex cases: up to 12–18 months
Research indicates aligners may even offer shorter treatment duration in selected cases, though outcomes depend on case complexity and planning.
Cost of Aligners After Braces
The cost of retreatment depends on:
Severity of relapse
Duration of treatment
Type of aligner system used
In many cases, retreatment is more cost-effective than initial orthodontic therapy, as corrections are limited and targeted.

Know Your Treatment Cost in Minutes
Why Teeth Shift After Braces (Even With Retainers)
Relapse can occur even with retainer use due to:
Poorly fitting or damaged retainers
Inadequate wear duration
Biological remodelling of bone and soft tissue
Studies highlight that teeth naturally tend to shift over time, especially without consistent retention.
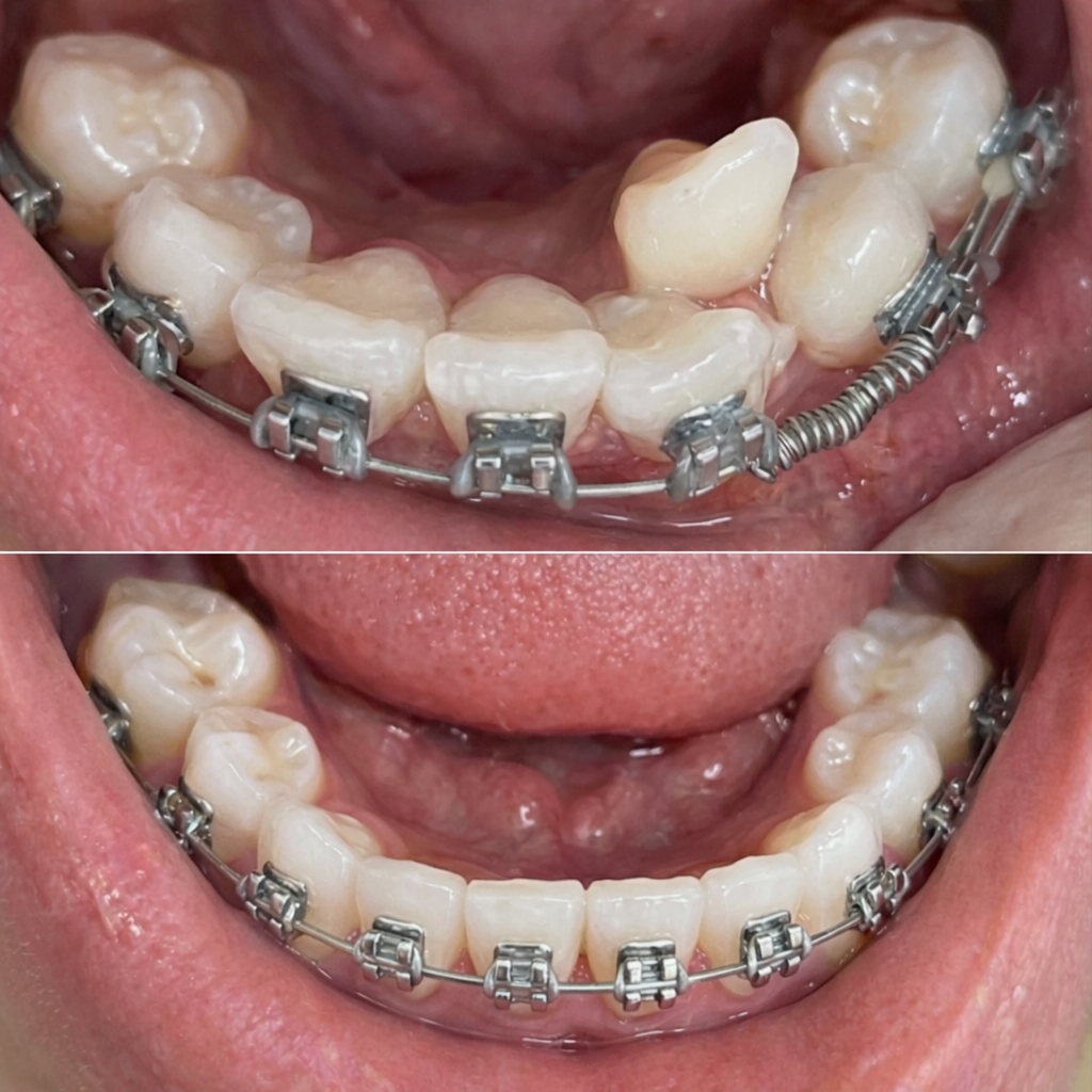
Before & After: What Retreatment Can Achieve
Optimising Long-Term Results
Successful retreatment depends on:
Wearing aligners 20–22 hours daily
Strict adherence to the treatment schedule
Maintaining oral hygiene
Consistent post-treatment retainer use
“Retention is not optional — it is a lifelong commitment to preserving your smile,” notes Dr. Pravin Shetty.
Take the next step towards correcting crowded teeth with clinically guided clear aligner therapy.
Frequently Asked Questions
Yes, Invisalign is commonly used for correcting relapse, especially in mild to moderate cases.
Relapse can occur due to biological factors, retainer non-compliance, or ageing changes.
Yes, retreatment is usually faster because corrections are less extensive.
Typically, between 3 and 12 months, depending on severity.
Results are stable with proper long-term retainer use.